آخر تحديث :الأربعاء-27 مايو 2026-11:25م
اخبار وتقارير

د. وهاج المقطري يكشف إصابة شاب بالسل الجنبي في صنعاء رغم سلبية كل الفحوصات

د. وهاج المقطري يكشف إصابة شاب بالسل الجنبي في صنعاء رغم سلبية كل الفحوصات
السبت - 08 نوفمبر 2025 - 09:32 م بتوقيت عدن
- نافذة اليمن - خاص

نشر الطبيب وهاج المقطري، أمس الجمعة، قصة طبية حول حالة شاب يبلغ من العمر 24 عاماً، تَبيّن لاحقاً إصابته بالسل الجنبي، رغم أن جميع الفحوصات الأولية جاءت سلبية.

وقال الدكتور المقطري المقيم في العاصمة المحتلة صنعاء، في منشور له رصده نافذة اليمن على حسابه الرسمي بموقع فيس بوك، إن الشاب كان قد اشتكى من ألم في صدره الأيمن استمر لأسابيع، ظنه في البداية ألماً عضلياً، لكن مع مرور الوقت تفاقم الألم ورافقه ضيق في التنفس، ما دفعه إلى التوجه لأحد المستشفيات لإجراء الفحوصات.

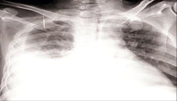
وأظهرت الأشعة وجود تجمع سوائل في الجنب الأيمن، فتم ترقيده وسحب السائل وإعطاؤه مضادات حيوية واسعة الطيف، لتحسن حالته مؤقتاً. غير أن الأعراض عادت بعد أسبوع، وأظهرت الأشعة مجدداً تجمع السوائل، لكنه رفض إعادة السحب، ثم توجه إلى الطبيب وهاج المقطري.

وأوضح المقطري أن الحالة بدت غريبة، فالشاب لم يكن يعاني من أي أعراض كلاسيكية للسل، وكانت جميع فحوصاته بما فيها Mantoux و(QFT) وPCR سلبية، ولم تظهر تحاليل السائل الجنبي وجود سل أو خلايا سرطانية.

وأضاف أنه عند سؤاله عن وجود إصابات سابقة بالسل في العائلة، نفى الشاب ذلك في البداية، قبل أن يعترف لاحقاً بأن والدته توفيت قبل عشرين عاماً بسبب السل، وهو ما دفع الطبيب إلى الاشتباه مجدداً وتشجيعه على إجراء خزعة جنبية.

وجاءت نتيجة الخزعة مؤكدة لإصابته بـ السل الجنبي (Pleural Tuberculosis) رغم سلبية كل الفحوصات السابقة، ليتم تحويله إلى مركز الدرن وبدء العلاج الخاص بالسل، ومع مرور شهر ونصف بدأ التحسن يظهر عليه بوضوح.

وأشار الدكتور المقطري في ختام قصته إلى أن العدوى الكامنة بالسل قد تظل خاملة لسنوات طويلة، ثم تنشط لاحقاً نتيجة ضعف المناعة أو أي عوامل أخرى، مؤكداً أن تاريخ العائلة المرضي يبقى عاملاً حاسماً يجب عدم تجاهله عند تقييم أي حالة يُحتمل إصابتها بالسل.